人血清白蛋白,作为血浆中含量最高的蛋白质(占血浆总蛋白 50%-60%),是维持人体渗透压、稳定内皮细胞、转运代谢化合物的 “生命基石”,临床常用于补充体液、治疗低蛋白血症,需求常年居高不下。根据中检院批签发数据,2024年,白蛋白共批签发5470批次,其中,进口白蛋白共批签发3677批次,国产白蛋白批签发批次占比则为33%,整体与2023年持平。作为唯一允许进口的血液制品,供应高度依赖海外,原料血浆短缺、外企主导市场更加剧了供需矛盾。与此同时,据 Allied Market Research 预估,全球市场持续扩容,2020-2030 年规模预计从 48.14 亿美元增至 89.56 亿美元,年复合增长率 6.4%,亚太地区增速高达 7.7%,市场缺口亟待填补。
它通过基因工程技术在细胞培养液中制备,全程不依赖血浆,既消除了血浆相关的疾病传播风险,又摆脱原料供应限制,具备大规模量产潜力,是实现国产自给自足的核心方案。目前,全球范围内已有多款重组人血白蛋白产品进入临床或上市阶段,国内企业也在赛道上加速奔跑:

注:数据调研日期截至 2025 年 12 月 20日;资料来源:Clinical Trials.gov、CDE、公司官网、弗若斯特沙利文分析。
在生物制药领域,白蛋白项目的纯化工艺远比传统抗体类药物更具复杂性与特殊性,核心挑战集中在以下三点:工艺无平台化适配性,需定制化开发不同表达体系和发酵工艺会产生差异显著的杂质谱,既有纯化方案无法直接套用,每个项目都需要投入大量资源开展专属的工艺开发工作。
终端价格承压,成本控制要求严苛白蛋白终端价格不足普通抗体的十分之一,这就要求纯化流程必须极致简化,同时对层析填料等核心耗材的成本提出了极高的控制标准。
回收率与纯度双高门槛,缺一不可工艺性能需兼顾两大硬性指标:
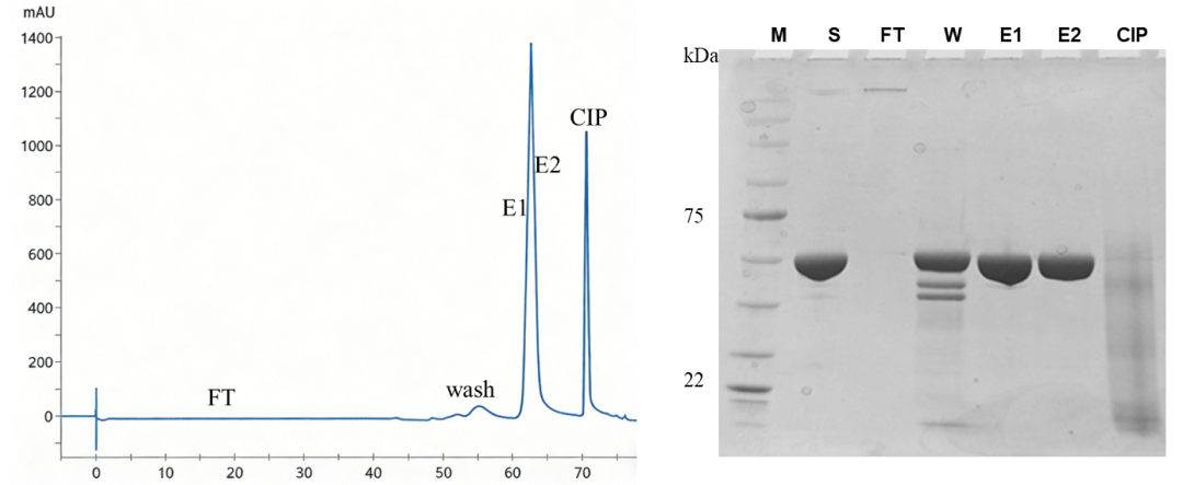
第一步:利用阴离子交换介质UniGel-65Q HC 进行捕获,在吸附目标产物的同时去除部分聚体及色素蛋白。
第二步:采用疏水层析介质UniHR Phenyl-80L 以流穿模式操作,进一步去除残留聚体及宿主细胞蛋白(HCP)、宿主细胞 DNA/RNA 等杂质。第三步:通过NW Rose Plus HCM HP 介质进行结合-洗脱式精纯,特异性去除分子量约45 KDa的杂蛋白,使终产物纯度达到99.9% 以上。经三步纯化后,重组白蛋白纯度从初始的70% 提升到 99.9% 以上,收率达到 65% 以上。
人血清白蛋白临床刚需但血源依赖、供需缺口大,重组人血白蛋白(rHSA)无需血浆、可量产,成破局关键,国内企业加速推进中。rHSA量产核心难点在纯化:需定制化适配、严控成本,还得满足回收率超50%、纯度99.9999% 的双高要求。三步层析工艺可精准攻克,将纯度提至 99.9% 以上、收率超 65%。纳微科技凭借丰富的层析产品线与实战应用案例,精准攻克客户工艺纯化难题,提供定制化解决方案,助力rHSA量产落地。